Conservative dentistry Warsaw

Dental caries is often the cause of many unpleasant diseases and loss of comfort when eating favorite foods. Its cause is a combination of aggressive bacteria and inadequate oral hygiene.

 

Many people also don’t know that it is contagious! How to deal with it? Conservative dentistry comes to the rescue and we attach great importance to it in our clinic.

Contact

Dental treatment

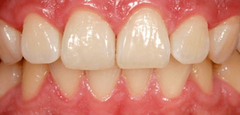
Treating caries with fillings called “fillings” is the most frequently performed procedure in dental offices around the world. This does not mean that treating a “hole” in a tooth does not require accuracy, precision and experience, on the contrary.

 

The purpose of the filling is to reproduce the shape, color and, above all, the function of the tooth as faithfully as possible. At Niewada Clinic, we use the latest, most advanced composite materials for fillings (so-called white fillings). and connecting systems (bonds). Our doctors cooperate with leading manufacturers of dental materials, thus minimizing the risk of leaks and re-cavities.

 

Thanks to our extensive experience, we select composites for a specific case, which makes our “fillings” practically invisible.

Biological treatment, Biological dentistry

At NIEWADA CLINIC, our principle is to respect the human body, we pay special attention to the protection of tissue of teeth, gums, masticatory system, but also the rest of the body. We work minimally invasively. Natural enamel and dentin are worth their weight in gold to us. It is similar with the tooth pulp.

Tooth pulp

Pulp is the tissue found inside every healthy tooth. it consists of nerves, blood and lymphatic vessels and connective tissue. Its task is to nourish the tooth from the inside. If the pulp (sometimes called the “nerve”) dies, the tooth must be treated with a root canal. Such a tooth still functions, but the enamel and dentin are no longer nourished from the inside and the tooth is less durable.

Conservative treatment at Niewada Clinic

Durability of fillings

Fillings made of composite materials can last for many years and our “fillings” do so.

 

However, we recommend follow-up visits to each of our patients at least once a year. This gives us the opportunity to inspect and possibly repair the fillings, thanks to which the fillings will last for years.

Painless treatments

We perform all treatments painlessly. We anesthetize our patients using computer anesthesia system THE WAND. We use articaine for anesthesia, which is the safest local anesthetic in dentistry.

Treatment in harmony with nature

In our clinic, we have introduced BIODENTINE, a bioactive dentin substitute, for the treatment of deep caries and pulp inflammation. It is a material with anti-inflammatory and antibacterial properties. It is biocompatible, which means it does not harm pulp cells. Thanks to BIODENTINE we are able to cure very deep cavities and pulp inflammation without root canal treatment, even those that until recently were called IRREVERSIBLE PULPITIS. This name is no longer valid in our country. During one short visit, we fill the tooth with bioactive material and leave the rest to nature, and it really works. After about a month, we only replace the top layer of BIODENTINE with a composite material (“white filling”) and that’s it. This is an amazing method of saving teeth badly damaged by caries without root canal treatment, effectively and biologically.

FAQ / Conservative dentistry

Are the “fillings” permanent?

Fillings made of composite materials are durable and last for many years. We make our “fillings” with the utmost care, but to ensure the durability of the fillings, monitor their condition and, if necessary, make repairs, we recommend regular inspection visits at least once a year.

Is dental treatment painful?

The comfort of our patients is very important to us.

 

We perform all treatments painlessly. We anesthetize our patients using THE WAND computer anesthesia system.

 

We use articaine for anesthesia, which is the safest local anesthetic in dentistry.

Is it possible to save teeth that are very damaged by caries without root canal treatment?

Yes!

 

In our clinic, we have introduced BIODENTINE, a bioactive dentin substitute, for the treatment of deep caries and pulp inflammation. It is a material with anti-inflammatory and antibacterial properties. It is biocompatible, which means it does not harm pulp cells. Thanks to BIODENTINE, we are able to heal very deep cavities and pulp inflammation without root canal treatment, even those that until recently were called IRREVERSIBLE PULPITIS. This name is no longer valid in our country. During one short visit, we fill the tooth with bioactive material and leave the rest to nature, and it really works. After about a month, we only replace the top layer of BIODENTINE with a composite material (“white filling”) and that’s it. This is an amazing method of saving teeth badly damaged by caries without root canal treatment, effectively and biologically.