Metamorphoses

Get to know the results of our work: implantological and prosthetic treatment, effects of bruxism treatment, elimination of gum recession, veneers, whitening and hygiene. Follow with us the stories of changes that have brought positive revolutions to the smiles of our patients.

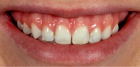
Bioaesthetic Treatment

We are the first bioaesthetic dentistry clinic in Poland offering a complete, original treatment procedure.

Bioesthetics is a minimally invasive therapy formula that preserves the beauty and proportions of natural teeth. Bioaesthetic treatment focuses on the entire oral chewing system, not on the problems of individual teeth. In bioaesthetic dentistry, the source of the problem is treated, not just the symptoms.

READ MORE ABOUT BIOAESTHETICS

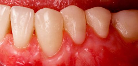
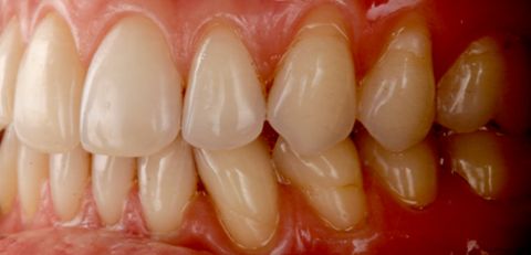
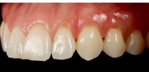
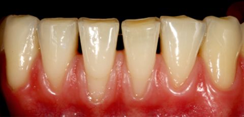
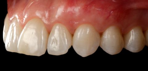
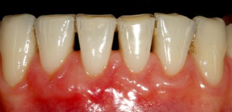
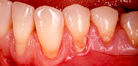
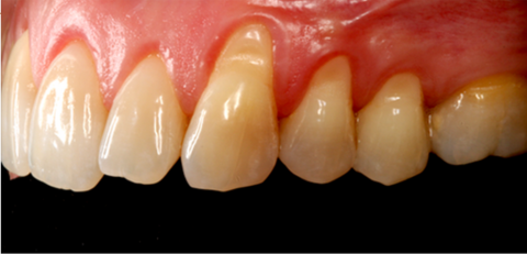
Gum Recession

Modern dentistry means functioning in complete harmony, the so-called “white and red aesthetics”. Maintaining the natural proportions of teeth and gums allows the smile to fit perfectly into the frame of the mouth. Our clinic specializes in periodontal microsurgery, thanks to which we correct irregular gum lines, exposed tooth necks, too long or too short crowns, or gum or bone loss after an extracted tooth.

 

Our goal is not only to improve the aesthetics of your smile, but above all to ensure health throughout the entire oral cavity.

READ MORE ABOUT TREATING RECESSION

Implantology

We believe that the success of therapy begins with carefully tailoring methods to the individual needs and clinical situation of each patient.

Regardless of what type of problem the patient comes to us with, we are able to offer the most biological solution. Advanced treatments in the aesthetic zone, pfull-arch All-on-four reconstructions, bridges, immediate implantation are just some of the solutions we use in everyday practice.

READ MORE ABOUT IMPLANTS

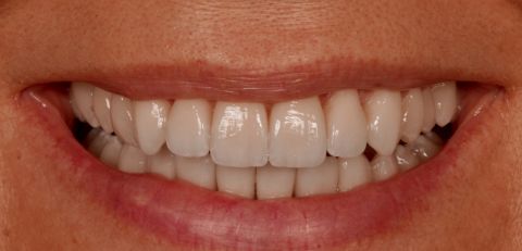
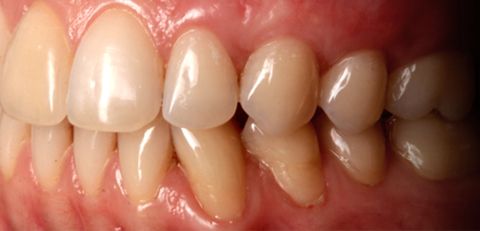
Prosthetics

Dental prosthetics is a field that deals with restoring missing teeth and restoring the functions and aesthetics of the oral cavity. We perform veneers, crowns, bridges and other prosthetic works in a minimally invasive way, saving your tooth as much as possible.

 

We work to combine the effect of radiance, freshness and naturalness of the smile. This is the most difficult challenge that we have been passionately pursuing for many years. We devote time only to you, so that the result of the veneers or crowns you are fully satisfied with, because what matters to us is the effect!

READ MORE ABOUT PROSTHETICS

Treatment of bruxism